Нова програма діагностики раку без операції — Endobronchial ultrasound (EBUS)

«Кармель», розташований в Хайфі — один з провідних медичних центрів Ізраїлю організував курси по роботі з новим апаратом EBUS. З його допомогою пульмонологи, онкологи та хірурги зможуть розпізнавати рак …

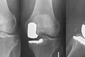
Нова методика ендопротезування

Медики Ізраїлю відкрили нові перспективи в мінімально-інвазивної хірургії. Накопичення досвіду у сфері інноваційної медицини для роботи лікарів на першому місці. Тому такі операції проводяться ортопедами не один раз в …

Нестандартне лікування генних мутацій у чоловіків при безплідді

Ізраїльськими лікарями виявлений такий стан чоловічого організму, коли при достатній кількості андрогенів, не відбувається їх ідентифікація. В результаті цього, у чоловіків діагностується безпліддя. Такий збій чоловічої генетики призводить до …

Нейродегеративні захворювання та їх причини

Дослідження нейродегенеративних захворювань останнім часом стали активно розвиватися на теренах Ізраїлю. Зусилля лікарів нарешті ознаменувалися проривом і вони розгадали ключ до загадки лікування таких хвороб. Відкриття це здійснено завдяки …

Небезпечний білок hnRNP A2/B1

Ізраїльськими ученими розроблена нова методика прогнозування і лікування пухлини головного мозку. Медики виявили спосіб впливу на білки, відповідальні за розвиток гліобластоми. Гліобластома Моніторинг смертельно небезпечних захворювань головного мозку показує …

Наноплівка може замінити пошкоджену сітківку ока

Ізраїльські дослідники винайшли гнучку світлочутливу плівку, здібну стать частиною дефектної сітківки ока або протеза. Таким чином, можливе відновлення зору пацієнтів, чиї очі постраждали від дегенерації сітківки іменованої муколодистрофией. Інформація …

Найкращі клініки ЕКЗ в Ізраїлі

На сьогоднішній день Ізраїль займає 4 місце серед держав світу, в яких було проведено ЕКЗ, результатом якої стало народження дитини. Екстракорпоральне запліднення в ізраїльських клініках вже більше 30 років …

Мобільні датчики допоможуть досліджувати хворобу Паркінсона

Отримання і обробка даних про стан людини із захворюванням Паркінсона тепер можлива за допомогою нової мобільної технології. Дослідженнями зайнявся ізраїльський відділ компанії Intel. Це новий етап у розвитку методів …

Мініатюрний кардіомонітор для самих маленьких

Вже довгий час для дослідження роботи серцевого м’яза, застосовуються різні датчики та монітори. В основному вони призначені для виявлення точного діагнозу у дорослих. Такі пристрої впроваджуються в грудну клітку …